+919363610278, 04479610454, 9840310278
Orthodontic appliances

Metal Braces
-
Traditional Metal MBT Brackets
-
Brackets- Wires - Elastics
-
Requires Maintenance.

Ceramic Braces
-
Tooth coloured Brackets
-
Metal Wires- Bracket - Elastics
-
Elastics Do Change Colour and may apprear Yellowish after 2-3 days
-
May not be recommended in severe dental problems

Self Ligating Braces

-
Faster
-
Easier to maintain
-
Has a gate to secure the wire
-
no Elastics
-
easier to maintain
-
Less Painful as the friction is lesser

Self ligating braces- clarity
-
Tooth Colored Self ligating braces
-
Has a Ceramic Gate for securing the wires inside the bracket


Damon Brackets
Braces that doesnt require tooth removal
-
Works on the principle of Expansion
-
in most cases the usual extraction can be avoided
-
Also a self ligating braces


DAMON CLEAR
-
Includes the Damon advantages
-
the most transparent bracket
-
made of monocrystalline ceramics
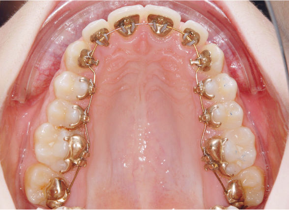
Lingual Orthodontics
-
Brackets fixed behind the teeth
-
Brackets are custom made for the patient
-
requires great patient compliance
-
not recommended if there is not enough torque in the teeth.






